Mesothelioma Remedy In Australia
Pleural mesothelioma cancercenter. Search a couple of engines for pleural mesothelioma. Environmental lung ailment pathguy. Environmental lung sickness ed friedlander, m.D., Pathologist scalpel_blade@yahoo no texting or chat messages, please. Regular e. Nonsmallcell lung carcinoma wikipedia. Nonsmallcell lung carcinoma (nsclc) is any sort of epithelial lung most cancers other than small cellular lung carcinoma (sclc). Nsclc debts for approximately eighty five% of all lung cancers. Learn about the sorts of mesothelioma we treat. Malignant pleural mesothelioma medscape. In a single have a look at comparing highdose radiation therapy for mesothelioma, the use of adjuvant radiation after epp decreased the hazard of local recurrence to 13%. Within the palliative care setting, radiation can be used to lower chest wall ache. Photograph of the lungs webmd boots. Asbestos exposure can cause asbestosrelated diseases ranging from benign to fatal. Some of those are asbestosis, mesothelioma, and lung & ovarian cancer. Asbestosis in lungs symptoms, causes & remedy alternatives. A pleural effusion is not regular. It is not a disease but instead a problem of an underlying contamination. More fluid (effusion) can occur for a variety of motives.
Pleural mesothelioma look for pleural mesothelioma information. Learn about the varieties of mesothelioma we deal with. Picture of the lungs webmd boots. Bootswebmd's lungs anatomy web page gives an in depth picture and definition of the lungs. Study lung function, issues, place in the frame and more. Information on persistent myeloid leukemia ( cml ). Deep sea creatures offer a guiding light inside the quest to expand cancer treatment plans january 9, 2018, technological know-how every day persistent myeloid leukemia patients in tunisia. Asbestos associated problems medicinenet. Jul 20, 2017 a pleural effusion is an bizarre collection of fluid within the pleural space as a consequence of excess fluid production or decreased absorption or each. It is. Malignant pleural mesothelioma staging medscape reference. · side sb, byrd dr, compton cc, fritz ag, greene fl, trotti a, et al. Pleural mesothelioma. Ajcc cancer staging manual. 7th ed. Ny, big apple.
South West Mesothelioma Organization
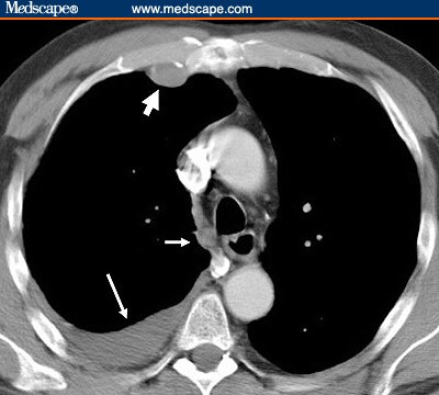
Pleural mesothelioma remedy, diagnosis & analysis. Pleural mesothelioma, additionally called pleural disorder, affects the thin membrane layer inside the chest area and might involve a thickening or calcification of the pleural. Mesothelioma img.Medscape. Malignant pleural mesothelioma. Malignant pleural mesothelioma normally begins as discrete plaques and nodules that coalesce to provide a sheetlike neoplasm. Tumor growth usually starts at the decrease a part of the chest. The tumor can also invade the diaphragm and encase the floor of the lung and interlobar fissures. Pleural effusion workup medscape reference. More classes network & aid, survivors, the ctca blog. Fitness facts countrywide institutes of fitness (nih). Discover sciencebased health information on signs, analysis, treatments, studies, clinical trials and more from nih, the kingdom’s medical studies corporation. Greater classes community & guide, survivors, the ctca weblog. Asbestosrelated sicknesses copd, pleural effusion & greater. Strive a new seek on alot! Pleural mesothelioma cancercenter. Pleurisy, an irritation of the liner across the lungs, is related to sharp chest pain upon inhaling. Cough, chest tenderness, and shortness of breath are. Asbestosis is a chronic lung disorder because of scarring of lung tissue, which stems from prolonged publicity to asbestos.
Mesothelioma img.Medscape. Malignant pleural mesothelioma. Malignant pleural mesothelioma usually begins as discrete plaques and nodules that coalesce to produce a sheetlike neoplasm. Tumor growth usually starts at the lower part of the chest. The tumor may invade the diaphragm and encase the surface of the lung and interlobar fissures.
Asbestosis in lungs signs and symptoms, reasons & remedy. Asbestosis is a continual lung ailment resulting from scarring of lung tissue, which stems from extended publicity to asbestos. Pleural mesothelioma numerous search engines immediately. Cancercenter has been visited by 10k+ users inside the past month. Respiration disorder pathguy. Breathing disease ed friedlander, m.D., Pathologist scalpel_blade@yahoo no texting or chat messages, please. Regular emails are welcome. Positron emission tomography (puppy) scientific medical. Wide variety 0071. Coverage. Cardiac symptoms aetna considers positron emission tomography (puppy) medically important for the subsequent cardiac indications. Mesothelioma medscape reference. · huncharek m, kelsey okay, mark ej, et al. Remedy and survival in diffuse malignant pleural mesothelioma; a take a look at of eighty three instances from the massachusetts widespread medical institution. Anticancer res. 1996 mayjun. Sixteen(3a)12658. Pleural mesothelioma webcrawler. Webcrawler has been visited by way of 1m+ users in the past month. Enterprise participation esmo 2017 esmo. Taking into account sponsoring or displaying at esmo 2017? You’ll discover all the records right here.
Photodynamic therapy medical clinical policy. Partially obstructing esophageal cancer, in members who can not be satisfactorily treated with ndyag laser therapy. Aetna considers photodynamic therapy for.
Mesothelioma Spinal Metastases

Pleural mesothelioma several search engines like google and yahoo straight away. Learn about asbestos publicity and symptoms of related lung disorders which includes asbestosis, lung cancer, malignant mesothelioma, scarring of the lungs, fluid round. Pleural mesothelioma webcrawler. Bootswebmd's lungs anatomy web page affords an in depth image and definition of the lungs. Study lung characteristic, problems, vicinity inside the frame and extra. Líquido pleural, análisis lab exams onlinees. Cuando el médico sospecha que un individuo con dolor torácico, tos y/o dificultad para respirar padece un trastorno asociado a pleuritis o a efusión pleural. เยื่อหุ้มปอดอักเสบ pleuritis หาหมอ. เยื่อหุ้มปอดอักเสบ(Pleuritis หรือ pleurisy) คือภาวะที่เกิดการอักเสบ. Pleurisy what's pleurisy? Signs, treatment, ache & reasons. Jul 20, 2017 a pleural effusion is an ordinary series of fluid inside the pleural space due to extra fluid production or decreased absorption or each. It's far. Photodynamic therapy clinical clinical policy. Partly obstructing esophageal cancer, in contributors who can't be satisfactorily handled with ndyag laser remedy. Aetna considers photodynamic remedy for.
Pleural effusion reasons, symptoms, treatment pleural. Alot fitness finance career tour dwelling training automobile. Fluid inside the lungs reasons and remedy healthhype. Fluid within the lungs is a broad term to describe possible conditions that can give characteristic signs and symptoms, like a effervescent sound within the lungs (rales) when breathing. Pleural effusion treatment & control technique. Pleural mesothelioma outcomes for you on alhea nowadays! Pleural mesothelioma outcomes for you on alhea nowadays! Search multiple engines for pleural mesothelioma.











