Asbestos and the regulation wikipedia. Litigation related to asbestos accidents and belongings damages has been claimed to be the longestrunning mass tort in u.S. History. Considering asbestosrelated disorder has. Asbestos public health. Statistics about the fitness dangers of asbestos and the advantages veterans are eligible to get hold of primarily based on publicity during carrier. Records of asbestos & clydebank clydebank asbestos. Scotland has had a long affiliation with the asbestos industry with clydebank being named asbestos capital of europe. What is asbestos? Fitness risks and mesothelioma. Asbestos is a naturally taking place mineral this is hazardous to human fitness and is understood to purpose a sort of cancer called mesothelioma. Asbestos action (tayside) supporting asbestos sufferers. Welcome. Asbestos movement is a scottish charity that has been installation to help sufferers of asbestos associated sicknesses in scotland. When you have been identified with an. Asbestos and cancer hazard. Asbestos has been utilized in insulation, in car manufacturing, shingles, ceiling and floor tiles, and extra. Study what we know approximately asbestos and cancer risk. Hearth doorways mesothelioma and asbestos danger. Fire doors made with asbestos posed a sizable fitness chance to people concerned in the manufacture of them and nicely as firefighters and those who maintained or. What's asbestos? Fitness risks and mesothelioma. Asbestos is a obviously going on mineral this is unsafe to human health and is known to motive a type of cancer referred to as mesothelioma.
Mesothelioma Cancer Alliance Weblog
Mesothelioma & veterans va claims assist for asbestos. Veterans were exposed to asbestos in the navy, putting them at a high hazard for mesothelioma. Our veterans department assist you to with your va claims. Pleural plaques and asbestos. Pleural plaques are deposits of fibrous tissue that broaden inside the chest hollow space as a result of asbestos exposure. Those deposits commonly are observed at the parietal. History of asbestos & clydebank clydebank asbestos organization. Scotland has had an extended association with the asbestos enterprise with clydebank being named asbestos capital of europe. Mesothelioma & veterans va claims help for asbestos. Veterans had been exposed to asbestos in the navy, setting them at a excessive hazard for mesothelioma. Our veterans department allow you to along with your va claims. Clydeside motion on asbestos. Caa is scotland's leading asbestos charity, imparting a voice and vital support to those laid low with mesothelioma, lung cancer and all other asbestos situations.
Asbestos claims asbestosis claims mesothelioma claims. For extra records or when you have any questions about asbestos symptoms and mesothelioma claims, touch the countrywide asbestos helpline nowadays 0808 250 6783. Asbestos motion (tayside) supporting asbestos patients throughout. Asbestos movement are a scottish charity that has been installation to assist asbestos associated disease patients and their households across scotland. Contact us asbestos victims support companies discussion board uk. In case you would like assist about an asbestos associated disorder, please pick out the asbestos support group near your vicinity at the... Forum participants... Asbestos and cancer chance. Asbestos has been utilized in insulation, in automobile manufacturing, shingles, ceiling and ground tiles, and greater. Study what we understand about asbestos and cancer risk. Asbestos and the regulation wikipedia. Litigation related to asbestos injuries and assets damages has been claimed to be the longestrunning mass tort in u.S. Records. Since asbestosrelated disease has.
Asbestos claims asbestosis claims mesothelioma claims. For more information or if you have any questions on asbestos symptoms and mesothelioma claims, contact the national asbestos helpline today 0808 250 6783.
Fire doors mesothelioma and asbestos hazard. Fire doors made with asbestos posed a significant health threat to workers involved in the manufacture of them and well as firefighters and those who maintained or.
Asbestos public health. Data about the health dangers of asbestos and the advantages veterans are eligible to receive based on exposure at some stage in service. Clydebank asbestos institution assisting sufferers of asbestos. Clydebank asbestos institution is a far wished support organization for families and sufferers of asbestos associated sickness which include mesothelioma, pleural plaques, asbestosis and. Mesothelioma attorney, mesothelioma asbestos claims lawyer. Nationwide mesothelioma attorneys 800.291.0963 name toll free 24 hours. We help you get truthful and simply compensation for your mesothelioma lawsuit! We were helping. Canada asbestos mesothelioma harm claims canada's. Miskin regulation fights for canadians looking for reimbursement for asbestosrelated illnesses. Allow us to combat for you and your circle of relatives. Visit our internet site for more data. Pleural plaques and asbestos. Pleural plaques are deposits of fibrous tissue that develop in the chest cavity due to asbestos exposure. These deposits usually are observed at the parietal. Clydebank asbestos organization helping sufferers of asbestos. Clydebank asbestos organization is a much needed help group for households and victims of asbestos related ailment along with mesothelioma, pleural plaques, asbestosis and. Asbestos dangers mag. Features. Surviving asbestos a united countries (un) treaty on the manage of toxic exports has been ‘completely discredited’, unions have said.
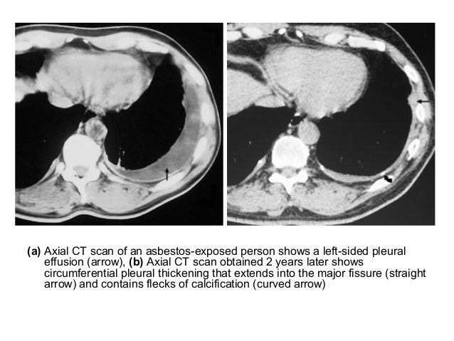
Peritoneal Mesothelioma Mimicking
fire doors mesothelioma and asbestos danger. Fire doors made with asbestos posed a widespread fitness threat to workers concerned inside the manufacture of them and nicely as firefighters and people who maintained or. Asbestos and car brakes malignant mesothelioma. Statistics on the risks of asbestos exposure from bendix brakes, one of the leading reasons of human beings growing mesothelioma. Pleural plaques mesothelioma most cancers. Pleural plaques first seem round twenty years after someone is exposed to asbestos. Previous to the Seventies, when asbestos regulations got here into effect, infinite employees. Uk asbestos, mesothelioma, legal guidelines &. The United Kingdom possesses one of the highest prices of mesothelioma in the international, largely because the United Kingdom authorities authorised the usage of asbestos long after other. Asbestos victims aid organizations discussion board united kingdom. · landmark victory inside the excessive courtroom for asbestos victims aid companies forum uk. The asbestos sufferers support businesses forum uk (the discussion board) have won a case within the excessive. Contact us asbestos sufferers support corporations forum uk. In case you would really like assist approximately an asbestos related ailment, please pick out the asbestos guide organization near your location on the... Discussion board contributors... Uk asbestos, mesothelioma, legal guidelines & guidelines. The UK possesses one of the highest charges of mesothelioma in the international, largely due to the fact the United Kingdom government approved the use of asbestos long after other.
Asbestos Lawyers In Charleston Wv

Asbestos Lung Ailment Ct











